Pneumonia: Causes, Symptoms, Diagnosis, Treatment, and Prevention
Introduction
Pneumonia is a serious infection that affects the lungs, causing inflammation and fluid buildup in the air sacs (alveoli). It can make breathing difficult and can range from mild to life-threatening. Pneumonia affects people of all ages but is particularly dangerous for infants, older adults, and people with weakened immune systems.

What Is Pneumonia?
Pneumonia is an infection of the lungs caused by bacteria, viruses, fungi, or other microorganisms. When the infection reaches the lungs, the air sacs become filled with pus and fluid, making it difficult for oxygen to pass into the bloodstream.
Types
- Community-Acquired Pneumonia (CAP)
Bacteria (especially Streptococcus pneumoniae)
Viruses (like influenza or RSV)
- Mycoplasma pneumoniae (causes walking pneumonia)
- Hospital-Acquired Pneumonia (HAP)
- This occurs during a hospital stay, typically 48 hours or more after admission. It can be more severe because the bacteria causing it are often resistant to antibiotics.
- Ventilator-Associated Pneumonia (VAP)
- Seen in patients who are on mechanical ventilation (breathing machines). It’s a serious form of hospital-acquired pneumonia.
- Aspiration Pneumonia
- Occurs when food, saliva, vomit, or liquids accidentally enter the lungs instead of the stomach. This type is more common in people with swallowing difficulties.
- Fungal Pneumonia
- Caused by fungi such as Histoplasma or Pneumocystis jirovecii. It mainly affects people with weakened immune systems, such as HIV patients or organ transplant recipients
Causes
- Bacteria
- Streptococcus pneumoniae (most common)
- Haemophilus influenzae
- Mycoplasma pneumoniae
- Chlamydia pneumoniae
- Legionella pneumophila (causes Legionnaires’ disease)
- Viruses
- Influenza (Flu)
- Respiratory Syncytial Virus (RSV)
- Coronaviruses (including COVID-19)
- Adenovirus
- Fungi
- Histoplasma capsulatum
- Cryptococcus
- Pneumocystis jirovecii
- Other Causes
- Aspiration (food or liquids entering lungs)
- Chemical or toxic substances
Risk Factors
- Infants and young children
- Elderly adults (over 65 years)
- People with chronic diseases (like asthma, COPD, diabetes)
- Weakened immune system (HIV, chemotherapy, transplant patients)
- Smokers
- Hospitalized or ventilated patients
- Malnourished individuals
Symptoms
Common Symptoms Include:
- High fever with chills
- Persistent cough (with green, yellow, or bloody mucus)
- Chest pain (especially when breathing or coughing)
- Shortness of breath or difficulty breathing
- Fatigue or weakness
- Rapid breathing and heartbeat
- Sweating and shivering
- Loss of appetite
- Confusion (especially in elderly people)
In Children:
- Fast or labored breathing
- Grunting or wheezing
- Fever and irritability
- Poor feeding or vomiting
Diagnosis
- Physical Examination
- Listening to the lungs with a stethoscope for crackling or wheezing sounds.
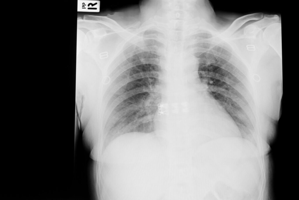
- Chest X-ray
- Confirms the presence and extent of lung infection.
- Blood Tests
- Check for signs of infection and identify the type of organism.
- Sputum Test
- Analyzes mucus from the lungs to detect bacteria or viruses.
- Pulse Oximetry
- Measures oxygen levels in the blood.
- CT Scan (in severe cases)
- Provides detailed lung images for complicated cases.
- Bronchoscopy
- Used if the infection does not respond to treatment to check the airways directly.
Treatment
The treatment depends on the type and severity of pneumonia and the age and health of the patient.
- Bacterial Pneumonia
- Treated with antibiotics such as amoxicillin, azithromycin, or doxycycline.
- Improvement is usually seen within 3–5 days.
- Viral Pneumonia
- Usually managed with rest, fluids, and antiviral medications (in severe cases like influenza or COVID-19).
- Fungal Pneumonia
- Treated with antifungal medicines like fluconazole or amphotericin B.
- Supportive Care
- Rest and hydration
- Oxygen therapy (if oxygen levels are low)
- Pain relievers and fever reducers (paracetamol, ibuprofen)
- Cough medicine (only if cough is severe)
- In severe cases, hospitalization may be required for IV antibiotics, fluids, or ventilator support.
Complications
- Pleural effusion (fluid around lungs)
- Lung abscess (pus in lung tissue)
- Sepsis (infection spreads to the blood)
- Respiratory failure
- Organ damage
- Death, especially in high-risk groups
Prevention
- Vaccination
- Pneumococcal vaccine: Protects against Streptococcus pneumoniae.
- Influenza vaccine: Prevents flu-related pneumonia.
- COVID-19 vaccine: Reduces risk of viral pneumonia.
- Hib vaccine: Protects children from Haemophilus influenzae type b.
- Good Hygiene
- Wash hands regularly with soap.
- Avoid touching your face and mouth frequently.
- Cover your mouth when coughing or sneezing.
- Healthy Lifestyle
- Eat a balanced diet to strengthen the immune system.
- Quit smoking, as it damages the lungs.
- Exercise regularly and get enough sleep.
- Avoid Exposure
- Stay away from people with respiratory infections.
- Keep your living area clean and well-ventilated.
Pneumonia in Children
Children, especially under the age of five, are at high risk. In developing countries, pneumonia is a leading cause of death among children. The main causes are bacterial and viral infections.
Warning Signs in Children:
- Fast or difficult breathing
- Chest indrawing (chest moving inward while breathing)
- Inability to feed or drink
- Bluish lips or fingertips
Treatment:
- Oral or injectable antibiotics (for bacterial pneumonia)
- Adequate fluids and rest
- Hospitalization in severe cases
- Vaccination, breastfeeding, and proper nutrition play a vital role in prevention.
Home Remedies and Self-Care Tips
- Drink warm fluids to loosen mucus.
- Use a humidifier for easier breathing.
- Rest adequately to allow the body to heal.
- Avoid smoking and secondhand smoke.
- Eat nutritious foods rich in vitamins A, C, and zinc.
When to See a Doctor
Seek immediate medical attention if you experience:
- Difficulty breathing
- Chest pain
- Persistent high fever
- Confusion or bluish lips
- Coughing up blood
Prognosis (Outlook)
Most healthy individuals recover from pneumonia within 1 to 3 weeks with proper treatment. However, recovery may take longer in elderly or immunocompromised patients. Timely treatment and prevention are key to reducing the risk of severe illness.
